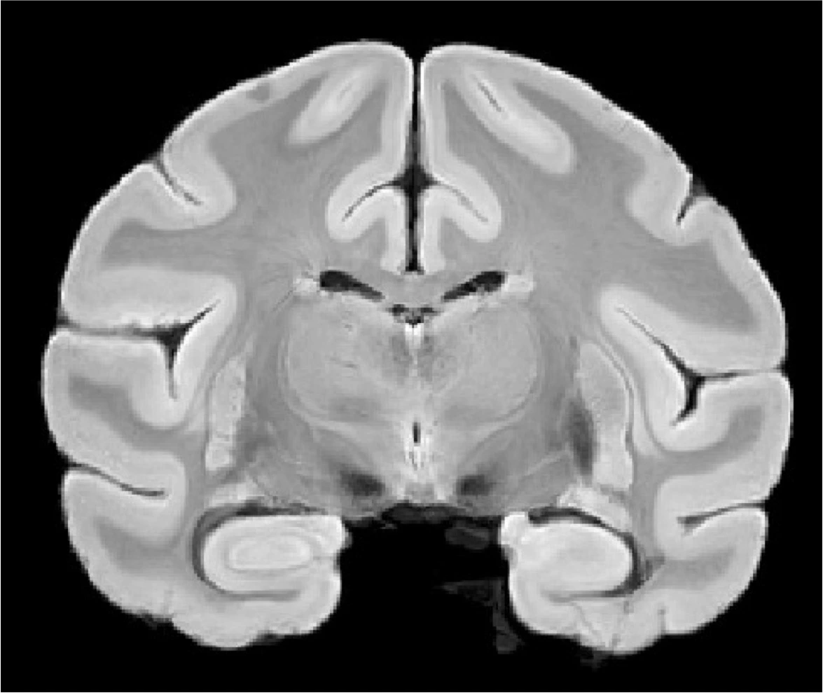
Bonnet Macaque High-Resolution Anatomical MRI (Laurel Dieckhaus)
Laurel Dieckhaus
Microstructural MRI maps including diffusion, T2 and T1 methods to show different features in the healthy post-mortem human temporal lobe (Courtney Comrie)
Courtney Comrie
Diffusion MRI tractography and a novel Polarized Light Imaging method for thick tissue measurements in the ferret optic chiasm for validation studies. (Rhea Carlson)
Rhea Carlson
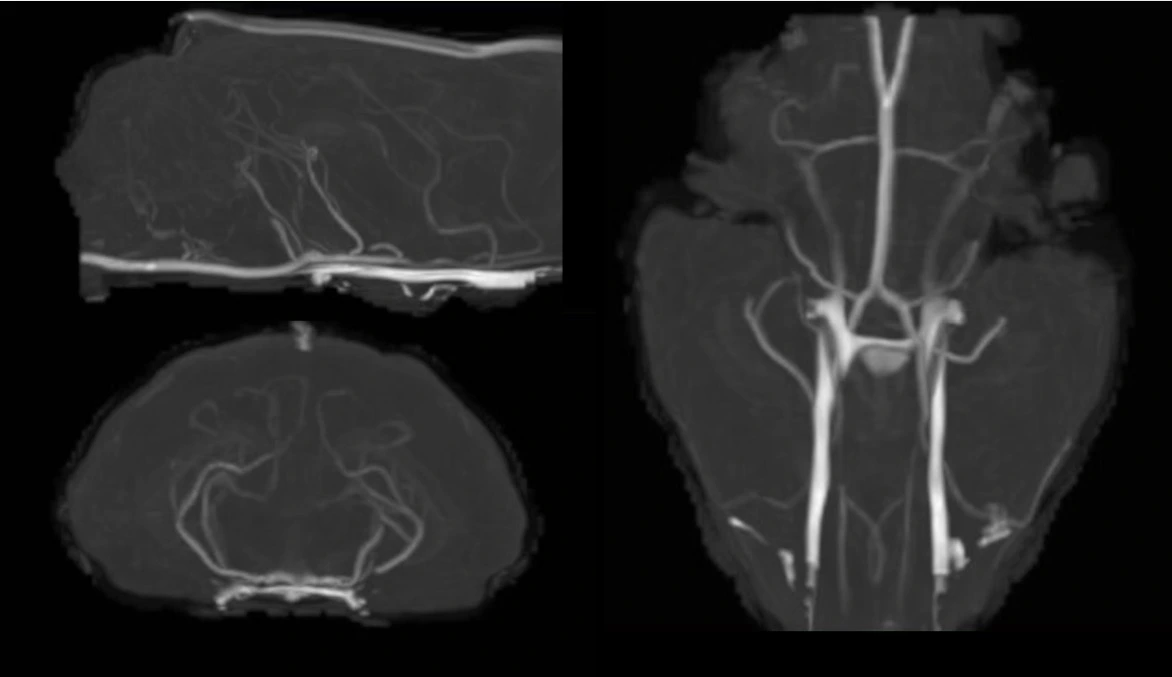
In-vivo Time-of-Flight MRI Angiography in the ferret brain. (Laurel Dieckhaus)
Laurel Dieckhaus
Comparison of DTI FA and Diffusion Tensor Subspace Imaging (DiTSI) spherical anisotropy (SA) in post-mortem human brain stem specimen
In-vivo human diffusion MRI with high (1mm) resolution for hippocampal mapping of DTI, NODDI and MAP-MRI metrics. (Courtney Comrie)
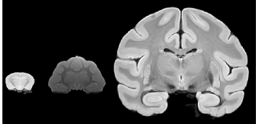
MRI microscopy of mouse, ferret and Bonnet Macaque brains. (Laurel Dieckhaus)